5月-7日在台南市玉井國小化育館辦理醫療義診,由高雄醫學大學醫療團隊18個科別的名醫,義務服務鄉民朋友們。當天天氣晴朗,一早就有許多鄉民前來排隊掛號看診。返老還童應邀協辦,也在門外掛號處搭起臨時服務區,除了播放功法介紹、練功成效…
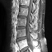
30多年來,惡性腫瘤一直高居我國10大死因首位。隨著治療的進步,罹患癌症的病人存活時間越來越長。然而,隨著存活時間延長,惡性腫瘤發生轉移的機會也會提高,在惡性腫瘤病人中,癌細胞轉移至骨頭的機會僅次於肺臟和肝臟,而在所有的骨轉移腫瘤中,又以轉移到脊椎最為常見。
在癌症治療中,身體如果沒有恢復健康,心靈沒有調整,癌症就非常容易復發,而且在不斷地復發過程中,身心備受煎熬與痛苦,家人亦是同樣地陷入悲傷的情景,讓人不捨;而這就是希望園區文教中心成立的意義。今生何其有幸能夠參與這樣的任務,非常感謝上天給我們這樣的機會,透過幫助這些病苦的人時,同時也啟發了生命存在的意義,讓自己有更深入的體悟,如何活在當下藉此觀照心靈是否尚有罣礙?
108年11月17日天色微亮,返老還童台中區有一百七十幾位師兄師姐們相約前往杉林溪練功,同時展開賞楓紅及觀黃金水杉之旅。一行人浩浩蕩蕩約莫七點左右抵達目的地,一下車,便感受到…
我來自高雄旗山,或許你(妳)會疑惑,為何大老遠跑來山佳?如果我告訴你,我仿效古人千里尋名醫,就可以知我的心境。